
В Киеве мужчине успешно имплантировали в сердце устройство для перекачки крови — для пациента это бесплатно благодаря городской программе
Фото: КГГАВ Александровской клинической больнице Киева в третий раз успешно имплантировали в сердце механическое устройство для перекачки крови. Для пациента операцию провели бесплатно благодаря программе «Здоровье киевлян».
Об этом сообщает пресс-служба Киевской городской государственной администрации.
Отмечается, что 50-летнего пациента госпитализировали в августе 2021 года в отделение кардиохирургии. В частности, мужчина жаловался на выраженную одышку в состоянии покоя, которая усиливалась при физической нагрузке (ходьба до 50 метров), выраженную общую слабость и отеки нижних конечностей.
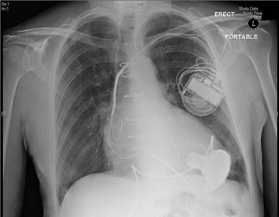
«Из анамнеза было известно, что он страдает гипертонической болезнью более 5 лет, перенес инфаркт миокарда, после чего через некоторое время начал чувствовать резкое ухудшение самочувствия. С 2019 года участились госпитализации по неотложным показаниям по поводу острой декомпенсации сердечной недостаточности и был имплантирован кардиовертер-дефибриллятор из-за частых приступов аритмии», — говорится в сообщении.
Проведение консервативного лечения не давало положительного эффекта.
«Таким пациентам показана имплантация устройства — LVAD HEART MATE 3. Устройство предоставляется бесплатно для пациента благодаря программе «Здоровье киевлян», — сообщили в КГГА.
Підтримуйте Громадське радіо на Patreon, а також встановлюйте наш додаток:
якщо у вас Android
якщо у вас iOS


